Odontologia completa para você e sua família no ABC

Atendimento completo, laboratório próprio e cuidado humanizado para quem busca segurança, agilidade e confiança em cada tratamento.

Resposta rápida pelo WhatsApp
Paciente em atendimento odontológico em clínica moderna e acolhedora
Plantão 24hUrgência via WhatsApp
Tecnologia digitalPlanejamento preciso
Atendimento humanizadoCuidado próximo e seguro
Laboratório próprioMais agilidade no tratamento
Plantão 24hUrgência via WhatsApp
Laboratório próprioPróteses com mais agilidade
Planejamento digitalPrecisão nos tratamentos
+5.000 pacientesSanto André e região
Tradição e confiança

Há mais de 25 anos cuidando de sorrisos em Santo André

Uma história construída no mesmo local, com atendimento próximo, humanizado e de confiança para pacientes de Camilópolis e região.

+25 anos Mesmo local Camilópolis e região
Agendar consulta
Dra. Simone em atendimento
Dra. Simone Gonçalves atendendo paciente em consultório odontológico
Especialidades

Especialidades para cuidar do seu sorriso em todas as fases

Da prevenção à reabilitação oral, oferecemos tratamentos completos com planejamento, tecnologia e atenção aos detalhes.

Plantão

Clínico Geral

Atendimento essencial para prevenção, diagnóstico e manutenção da saúde bucal.

Saiba mais
Plantão

Endodontia (Canal)

Tratamento para dor de dente, inflamações e necessidade de canal, com foco em aliviar a dor e preservar o dente.

Saiba mais
Plantão

Cirurgia

Realizamos desde extrações simples até procedimentos mais complexos, sempre com foco em conforto, segurança e planejamento.

Saiba mais

Ortodontia

Correção do alinhamento dos dentes e da mordida com planejamento personalizado para cada paciente.

Saiba mais

Implantodontia

Reposição de dentes perdidos com implantes planejados para devolver segurança, função e estética.

Saiba mais

Facetas em Resina e Porcelana

Soluções estéticas para transformar o sorriso com naturalidade, planejamento personalizado e acabamento de alto padrão.

Saiba mais

Próteses

Reabilitação oral com próteses planejadas para recuperar mastigação, estética e qualidade de vida.

Saiba mais

Estética Odontológica

Procedimentos voltados à harmonia do sorriso, autoestima e naturalidade nos resultados.

Saiba mais

HOF e Estética Facial

Botox, preenchimento e bioestimulador de colágeno para harmonização facial com naturalidade e equilíbrio.

Saiba mais
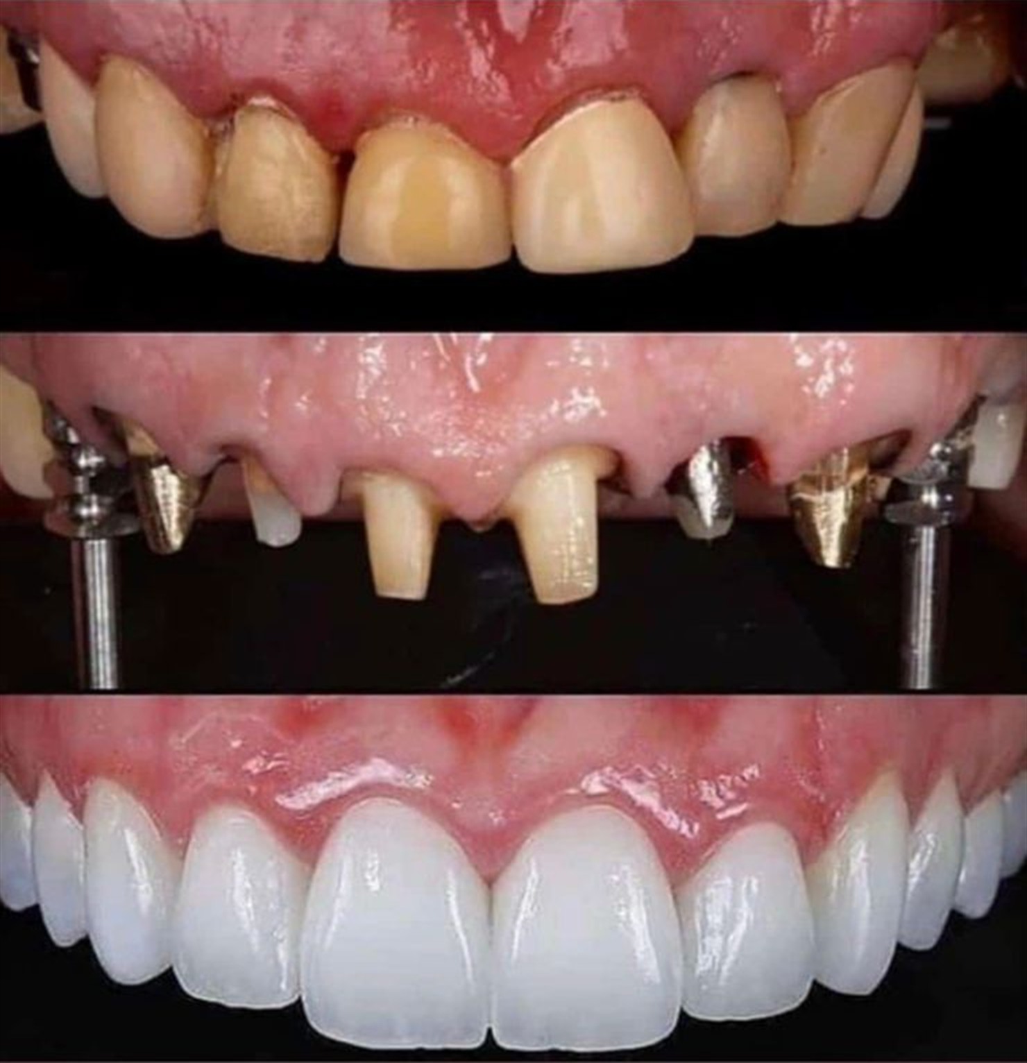
Fluxo digital • Prótese total • Protocolo sobre implantes

Próteses totais e protocolos sobre implantes com mais precisão

Com laboratório próprio e fluxo digital, planejamos próteses totais e protocolos sobre implantes com mais agilidade, precisão e personalização, buscando devolver função, estética e segurança ao sorrir.

Chamar no WhatsApp

Mais agilidade

Entregas mais rápidas e fluxo otimizado.

Precisão digital

Planejamento e execução com mais controle.

Personalização

Próteses e facetas com acabamento sob medida.

Controle interno

Mais acompanhamento em cada etapa do tratamento.

Processo

Como funciona seu atendimento

1

Primeiro contato

Você chama nossa equipe pelo WhatsApp e informa sua necessidade.

2

Avaliação

Entendemos seu caso e direcionamos para o atendimento ideal.

3

Planejamento

Quando necessário, realizamos exames, planejamento digital e definição do melhor tratamento.

4

Tratamento

Executamos o procedimento com foco em conforto, segurança e resultado.

5

Acompanhamento

Orientamos os próximos cuidados e acompanhamos sua evolução.

Plantão odontológico 24 horas para urgências

Dor intensa, trauma, inchaço, quebra de dente ou emergência odontológica? Nossa equipe oferece atendimento de urgência via WhatsApp para orientar você rapidamente.

Falar com o plantão agora
Dor de dente intensa
Dente quebrado
Trauma ou pancada
Inchaço
Sangramento
Urgências com próteses
Pós-operatório com intercorrência
Estrutura e resultados

Estrutura, tecnologia e cuidado em cada detalhe

Nossa clínica une um ambiente acolhedor, tecnologia digital e atenção aos detalhes para oferecer tratamentos mais seguros, confortáveis e personalizados.

Recepção acolhedora
Recepção da clínica odontológica Recepção acolhedora
Consultório preparado
Dra. Simone Gonçalves em atendimento odontológico em Camilópolis Consultório preparado
Lentes antes da cimentação
Lentes dentais prontas antes da cimentação Lentes antes da cimentação
Antes e depois do clareamento
Antes e depois de clareamento dental Antes e depois do clareamento
Equipe

Uma equipe preparada para cuidar do seu sorriso

Atendimento humanizado, planejamento personalizado e dedicação em cada etapa do tratamento.

Dra. Simone Gonçalves
Cirurgiã-dentista

Dra. Simone Gonçalves

Especialista em Ortodontia e Endodontia

Com mais de 25 anos de experiência, a Dra. Simone Gonçalves construiu sua trajetória unindo cuidado humanizado, precisão clínica e compromisso com a saúde bucal dos pacientes. Especialista em Ortodontia e Endodontia, atua com uma visão ampla da odontologia, oferecendo tratamentos personalizados e conduzindo a clínica com atenção, segurança e proximidade em cada etapa do atendimento.

Ortodontia Endodontia Clínica geral Atendimento humanizado Mais de 25 anos de experiência
Dr. Pedro Henrique
Cirurgião-dentista

Dr. Pedro Henrique

Prótese, cirurgia e reabilitação oral

Dr. Pedro Henrique integra a equipe clínica com atuação voltada à reabilitação oral, prótese, cirurgia e planejamento de tratamentos personalizados. Responsável pela parte protética e cirúrgica da clínica, também possui experiência em laboratório odontológico, o que contribui para uma visão mais integrada entre planejamento, execução clínica e acabamento dos casos.

Prótese dentária Cirurgia oral Reabilitação oral Laboratório odontológico Planejamento protético
Depoimentos

O que nossos pacientes dizem

"Excelente, super confiável!"

Marcia A. Avaliação no Google

"Realizei meu tratamento ortodôntico com a Dra. Simone, sem palavras! Recomendo muito, cheguei no sorriso que eu esperava."

Samira C. Avaliação no Google

"Fiz minhas próteses protocolo e da minha esposa com a Dra. Simone e Dr. Pedro, recomendo muito."

José C. Avaliação no Google

"Passo com a dra desde criança, melhor atendimento!!!"

Pedro S. Avaliação no Google
FAQ

Perguntas frequentes

Respostas rápidas para ajudar você a decidir o próximo passo com segurança.

Sim. O Centro Odontológico Dra. Simone Gonçalves conta com plantão 24 horas para urgências e emergências via WhatsApp.

Oferecemos Ortodontia, Implantodontia, Cirurgia, Clínico Geral, Facetas, Próteses e Estética Odontológica.

Sim. O laboratório próprio permite mais agilidade, personalização, controle de qualidade e precisão nos tratamentos.

Sim. O WhatsApp é o principal canal para agendamento e orientação inicial.

Sim. Trabalhamos com facetas em resina, facetas em porcelana, estética odontológica e planejamento do sorriso.

Precisa de atendimento agora ou quer transformar seu sorriso?

Fale com nossa equipe pelo WhatsApp e receba orientação para agendar sua consulta ou atendimento de urgência.

Atendimento humanizado
Plantão 24h
Laboratório próprio
Tratamentos completos